Описание
Бабезиоз представляет собой острое инфекционное заболевание, которое возникает у человека и животного. Болезнь характеризуется интоксикацией организма, анемией и лихорадкой. В первый раз его диагностировали в 1957 году в Югославии.
На сегодняшний день заболевание распространилось на всех континентах мира, кроме Антарктиды. Чаще всего встретить болезнь можно в Европе и на восточном побережье Америки.
Бабезиозы вызваны простейшими рода бабезия, они передаются от животного к человеку, и от человека к человеку через пастбищных клещей.
К настоящему времени известно всего 100 случаев бабезиоза. Практически все случаи закончились летальным исходом. Вылечить больного не получилось. У людей с хорошим иммунитетом болезнь протекает бессимптомно. Ежегодно в Европе более 10 тыс. домашнего животного страдает от бабезиоза. Переносчиками являются аргасовые и пастбищные клещи. Возбудитель болезни остается в организме клеща на всю жизнь и передается трансовариально.
Причины
После укуса клеща через его слюну передается возбудитель бабезиоза. Он проникает в кровеносные капилляры и размножается в эритроцитах. Когда более 5% эритроцитов поражены, то болезнь начинает проявляться. После разрушения эритроцитов у человека начинается анемия, она сопровождается микроциркуляцией и тканевой гипоксией.
В группу риска попадают люди:
- С удаленной селезенкой.
- Низким иммунитетом.
- Больные СПИДом.
- При наличии аутоиммунного заболевания.
- Люди пожилого возраста.
- Пациенты, которые перенесли тяжелое заболевание совсем недавно.
Протекает в таком случае болезнь в очень тяжелой форме, заканчивается чаще всего летальным исходом. В последние годы случаи болезни участились. Заражение больше всего происходят в Северной Америке.
Симптомы
Инкубационный период болезни составляет 1-3 недели. Продлиться он может и до месяца, часто проходит бессимптомно. Если организм ослаблен, то болезнь будет проходить тяжело.
При мягком течении болезни:
- Небольшой озноб.
- Анемия.
- Слабость организма.
- Лихорадка.
При тяжелой форме:
- Температура тела до 41 градуса.
- Гемоглобин в моче.
- Почечная недостаточность.
- Анурия.
- Свободный гемоглобин в крови.
- Желтуха.
Острая форма болезни может перейти в хроническую. Это проявляется сонливостью, бессонницей, болью в мышцах, сухим кашлем, подавленностью, снижением аппетита. Течение заболевания могут быть тяжелое и острое.
Диагностика
Диагностика бабезиоза затруднительная. У любого больного, у которого держится высокая температура длительное время, увеличивается печень. При антибактериальной терапии не будет результатов. Поэтому больной будет обследован на все инфекционные болезни.
Важно узнать у больного эпидемиологические данные – пребывание в эндемичной местности, случаи укусов насекомых и клещей. Нужно установить в каком состоянии иммунитет пациента.
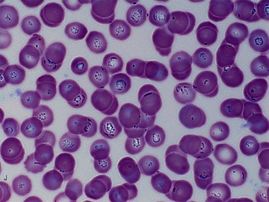
Диагноз подтверждается на основе исследования мазка и капли крови. Эффективным методом диагностики считают ксенодиагностику. Кровь больного вводят лабораторным хомякам. И через 2 недели проводят анализ крови. Наиболее дорогой, но результативный метод исследования – определение ДНК паразита с помощью полимеразной цепной реакции.
Лечение
Бабезиоз является малоизученной болезнью. К лечению врач подходит индивидуально к каждому пациенту.
Легкая форма болезни проходит бессимптомно, и не требует медикаментозной терапии. Болезнь исчезает самостоятельно.
Успех лечения тяжелых и среднетяжелых форм болезни – назначение антипаразитарных препаратов, и только если назначают медикаменты в ранних сроках бабезиоза. Лечение в стационаре под присмотром врача.
Схемы лечения:
- Назначение Атовакона, Азитромицина. Принимают их одновременно. Для понижения температуры больному рекомендуют симптоматическое лечение.
- Положительный результат будет уже на третьи сутки после приема Пентамидина Диизоцианата и Ко-тримоксазола.
- Эффективным методом лечения является назначение Клиндамицина и Хинина.
- При острой форме почечной недостаточности делают гемодиализ.
Народные средства
Народная медицина пока не нашла подходящего метода лечения для больных бабезиоза. Без этиотропного лечения прогноз неблагоприятный.
Чтобы устранить анемию, рекомендовано принимать препараты, содержащие железо.
Осложнения
Бабезиоз негативно сказывается на организме. Приводит болезнь к острой почечной и почечно-печеночной недостаточности. Может проявиться пневмония, которая ухудшит состояние пациента.
Профилактика
Современная медицина пока не разработала специфическую профилактику в борьбе с бабезиозом. Лучшей профилактикой является уничтожение грызунов, клещей на пастбищах. А также обработка акарицидами. Стоит применять противоклещевые препараты.
При подозрении заболевания стоит обратиться к инфекционисту.





Отзывы