Описание
Фиброматоз (гиперплазия десен) – заболевание, в возникновении которого выделяют два механизма: генетический и лекарственный. Доминантой считается наследственная форма, которая начинает проявляться уже в первый год жизни ребенка.
Патологическое разрастание тканей десен вызывает мутация в гене SOS1. Впоследствии это будет мешать смене временного прикуса на постоянный.
Лекарственное фиброматозное изменение тканей развивается при приеме определенных средств, оказывающих прямое воздействие на активность фибробластов десен.
Степени гиперплазии десен
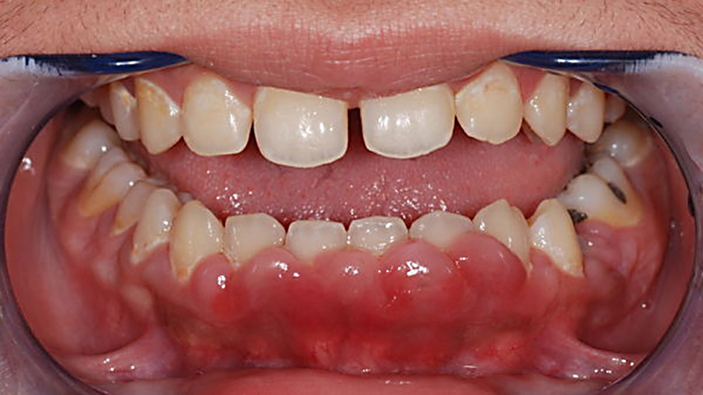
- Первая. Отмечается избыточный рост десневого края и межзубных сосочков. Утолщение, имеющее вид валика, может достигать 1/3 высоты зуба.
- Вторая. Разрастание десны прогрессирует и закрывает уже половину зуба. При приеме твердой пищи или гигиенических процедурах начинают появляться кровотечения.
- Третья. Десневой край и сосочки разрастаются до полного закрытия зубов. Десны могут перекрывать режущий край зубов и жевательную поверхность. Возникают грануляции (образование новой заживляющей ткани).
Причины
Изначальные причины развития этой патологии учеными до конца не выяснены. Известно, что она бывает фиброзной (генетической) и лекарственной.
Фиброзный тип появляется в период гормональных изменений в организме, при генетической предрасположенности.
Спровоцировать заболевания могут следующие состояния:
- аномалия прикуса;
- беременность;
- заболевание крови;
- зубной камень;
- половое созревание у подростков.
Лекарственная форма развивается при приеме определенных групп медикаментов:
- Препарат от эпилепсии Фенитоин, снижающий интенсивность припадков. Провоцирует заболевание только прием больших доз препарата.
- Иммунодепрессанты, принимаемые для подавления иммунитета при трансплантации органов. Препарат Циклоспорин вызывает гиперплазию, но тоже только при приеме его в больших дозах.
- Препараты, входящие в группу эстрогенов (оральные контрацептивы).
- Блокаторы кальциевых каналов: Амлодипин; Нифедипин; Верапамил. Препараты показаные при лечении гипертонической болезни и сердечной мышцы.
Лекарственная форма может возникнуть в любом возрасте. Не зависит она и от пола пациента. Спровоцировать ее может воспалительный процесс в зубном налете.
Симптомы
Основными симптомами гиперплазии десен считаются:
- увеличение массы десен, их набухание;
- уплотнение гипертрофированных тканей;
- заполнение межзубных промежутков тканями десен;
- покрытие значительной части зубов тканями десен;
- гомогенный розовый цвет тканей десен.
Встречает 2 вида гиперплазии десен:
- Генерализованная. Поражены обширные участки ткани.
- Очаговая. Одиночное разрастание ткани десны. Этот вид встречается редко.
Диагностика
Фиброматоз десен легко спутать с некоторыми другими заболеваниями десен. Поэтому кроме визуального осмотра используется гистологический анализ и рентген.
Лечение
Лечение фиброматоза десен на сегодняшний день только хирургическое. Стоматолог проводит гингивэктомию. Иссекает пораженный десневой край. Операция проводится под местным наркозом. Время проведения - около 30 минут. На область раны накладывают пародонтальную повязку для защиты раневой поверхности от инфекции. Одновременно проводится санация полости рта. Если патология только на временных зубах, то их удаляют.
Не исключаются рецидивы заболевания. В этом случае еще потребуется одно хирургическое вмешательство.
При лекарственной гиперплазии десен назначенный ранее препарат заменяют другим. Замена препарата часто приводит к восстановлению нормального вида тканей десен.
Если пациент снова начинает принимать препараты, вызвавшие фиброматоз десен, то значительно повышается вероятность рецидива заболевания.
Но если этого не произошло, то разросшуюся фиброзную ткань иссекают хирургическим путем. Прогрессирование заболевания замедляет частое и тщательное удаление зубных камней.
Народные средства
Лечение фиброматоза – хирургическое. Народными средствами заболевание не лечится. Самолечение и отказ от квалифицированной врачебной помощи может повлечь для здоровья серьезные последствия. Устранять их будет намного сложнее, чем лечить фиброматоз.
Осложнения
Прогноз при фиброматозе бывает не всегда благоприятным. Возможен рецидив процесса. У детей фиброматоз провоцирует задержку смены прикуса. Это неблагоприятно влияет на дальнейшее развитие всей зубочелюстной системы.
При длительном фиброматозе десен возможно разрушение альвеолярного отростка, появление симптомов дистопии и расшатывание зубов.
Запущенный фиброматоз приводит к серьезным осложнениям: разрушению межзубных перегородок и остеопорозу.
Профилактика
К профилактическим мероприятиям, помогающим не допустить развития патологии, относятся:
- тщательная индивидуальная и профессиональная гигиена полости рта;
- своевременное удаление зубного налета намного замедляет процесс разрастания тканей десны;
- не желательна травматизация края десен грубой пищей.
Регулярно надо посещать врача с целью осмотра всех зубов и лечения кариеса, удаления зубного камня.





Отзывы